
췌장은 명치끝과 배꼽 사이 상복부에 위치한 소화기관으로서 약 15 cm의 가늘고 긴 형태를 가집니다. 췌장은 각종 소화효소와 인슐린을 분비하여 장내 음식물을 분해하고 혈당조절을 담당합니다. 췌장은 십이지장과 연결되어 있어 소화 효소들은 십이지장으로 배출하여 음식물을 소화하는 데 중요한 역할을 담당합니다. 췌장은 해부학적으로 두부(머리), 체부(몸통), 미부(꼬리)로 나뉘어지며 두부는 십이지장에 가까이 위치하며 미부는 비장에 가까이 위치합니다. (그림 1) 그림 1은 정상 CT소견으로 췌장(흰색 화살표)은 위와 대장뒤에 위치합니다.
췌장암은 췌장에 생긴 암을 말하는데, 이중 90% 이상은 예후가 매우 불량한 췌관선암이 차지합니다. 이외에도 예후가 비교적 좋은 신경내분비종양 등을 이 포함되어 있습니다. 일반적으로 췌장암은 예후가 좋지 않은 췌관선암을 지칭합니다. 췌장두부에 췌장암이 발생할 경우 담도가 막히게 되어 황달이 나타날 수 있습니다. (그림 2)

2012년 발표된 국립암정보센터자료에 따르면 우리나라에서 2010년도에 발생한 췌장암 환자수는 연 4,637명으로 이는 전체 암환자의 2.3%(9위)입니다. 췌장암의 조발생율은 인구 10만 명당 9.3명으로 이는 선진국 (10명/10만명)과 비슷한 수준이며 과거에 비해 증가하는 추세입니다. 남자에서 조금 더 많이 발생하며 대부분 60대 이상에서 발생합니다. 췌장암은 예후가 매우 좋지 않아 2010년 췌장암으로 사망한 환자수가 4,306명이고 사망분율 (전체암 사망환자중 췌장암환자가 차지하는 비율)은 6%(5위)입니다.
췌장암의 위험인자로는 흡연, 가족력, 만성 췌장염, 당뇨병, 비만, 고열량/고지질식이, 남성, 고령 등이 알려져 있습니다. 전체 췌장암 발병원인 중 흡연이 차지하는 비율은 약 20%이기 때문에 췌장암을 예방하기 위해서는 금연이 필수적입니다. 약 7-10%의 췌장암 환자는 유전 소인을 가지고 있는데, 부모, 형제, 자식 중 3명 이상 췌장암 환자가 있을 경우 그 자신은 췌장암의 발생위험도가 약 32배 증가한다고 알려져 있습니다. 이 외에도 췌장암이 잘 발생한다고 알려진 유전 질환으로는 유전성 췌장염, 모세혈관 확장성 운동 실조증, 유전성 비용종성 대장암, 가족성 선종성 용종증 등이 있습니다.
췌장암은 초기 증상이 없거나 상복부불편감 등의 비특이적인 증상을 호소하기 때문에 증상만으로 췌장암을 발생여부를 조기에 알기는 매우 어렵습니다. 이러한 이유로 췌장암의 조기 발견율은 10% 이하로 매우 낮습니다. 복통과 체중감소가 비교적 흔히 나타나는 증상인데 이러한 증상은 비교적 진행된 췌장암 환자에서 나타납니다. 췌두부암 환자의 경우 대부분에서 황달이 나타나지만, 췌장의 체부와 미부에 발생하는 경우는 초기에 거의 증상이 나타나지 않아 시간이 지나서 발견되는 경우가 많습니다. 최근 외국연구에 따르면 많게는 약 85%의 췌장암 환자에서 당뇨병 혹은 내당능 장애가 동반된다고 알려져 있습니다. 당뇨병은 췌장암발생의 위험인자 (약 2배)인 동시에 췌장암의 조기 증상일 수 있어 50세 이상에서 당뇨병이 새로 발생한 경우 드물지만 췌장암이 동반되어 있거나 향후 췌장암이 발생할 수도 있습니다.
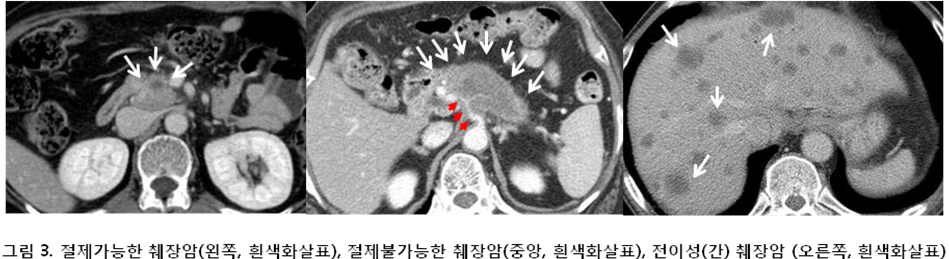
일반적으로 상복부불편감이 있을 경우 간편하고 부작용이 전혀없는 복부초음파검사를 많이 시행합니다. 하지만 췌장은 복부 깊숙히 자리잡고 있어 초음파로 췌장 전체를 자세히 관찰하기는 매우 어렵습니다. 대부분의 환자의 경우 복부 전산화단층촬영 (CT) 등의 영상 진단을 얻음으로써 진단 과정이 시작됩니다. CT에서 절제 가능하다고 판단되는 경우는 종양이 췌장에 국한되고, 중요 동맥의 침범이 없는 경우입니다 (그림 3). 완전절제 가능하다고 판단되는 경우에는 수술 전 조직 검사 없이 절제술을 바로 시행합니다.

CT에서 절제 가능성을 판단하기 어려울 경우 자기공명영상검사 (MRI), PET-CT검사 혹은 내시경 초음파 (EUS)를 이용하여 수술 가능성 여부를 결정을 하게 됩니다. PET-CT검사는 췌장염과의 감별 혹은 타장기 전이가 의심될 경우 시행하기도 합니다. 내시경 초음파검사는 의식하진정상태 (소위, 수면내시경)에서 위내시경검사와 동일하게 시행합니다.
환자의 전신 상태가 수술을 받지 못할 정도로 안 좋은 경우나, CT 또는 MRI검사 결과 절제 불가능한 경우, 간 또는 복강, 기타 장기에 전이가 있는 경우에는 조직 검사를 시행하여 췌장암임을 확진 한 후 치료 계획을 세우게 됩니다. 조직 검사는 신체 외부에서 복부 초음파나 CT의 도움을 받아 시행하거나 내시경검사 (내시경 초음파포함)를 통해 시행합니다.
절제가 가능한 췌장암은 수술적 치료를 시행하여 원격전이는 없지만 절제가 불가능한 경우는 방사선요법 혹은 화학요법(항암제)을, 원격전이가 확인된 경우는 화학요법을 시행합니다. 간략히 살펴보면 아래와 같습니다.
절제 가능한 췌장암의 경우
국소 진행성 췌장암의 경우
: 췌장암이 주위 혈관 (특히, 주요 동맥)으로 침윤되어 수술로 췌장암을 완전 절제가 불가능한 경우입니다.
화학요법 혹은 화학방사선요법을 시행합니다. 적절한 화학요법 혹은 화학방사선요법을 받은 환자의 경우 10명중 많게는 2-3명에서 수술이 가능하다는 연구결과도 있기 때문에 보다 적극적으로 치료에 임하는 것이 중요합니다.
전이성 췌장암의 경우
:주로 간 혹은 복강 내 전이가 흔하며 이외에도 폐, 뼈, 뇌 등의 장기로 전이가 발견되기도 합니다.
화학요법 (항암제)을 시행하는데, 최근에는 표적항암제를 포함한 복합화학요법을 시행하기도 합니다.
증상 완화
- 황달 : 췌장 두부암이 담도를 막을 경우 황달이 발생합니다. 이러한 경우 대부분 내시경시술로 인공배액관 (플라스틱배액관 또는 금속배액관)을 삽입합니다. (그림 4)
- 통증 : 마약성 진통제를 투약함에도 불구하고 통증이 매우 심한 경우에는 신경차단술을 시행하기도 합니다.

췌장암에 있어 유일한 완치 방법은 수술적 절제술입니다. 그러나 근치 목적의 절제술은 전체 췌장암 환자의 약 10-20%에서만 가능합니다. 또한 근치적 절제술을 시행받은 환자도 흔히 재발을 경험하는데(80-90%), 약 50-80%의 환자는 주위 림프절 또는 국소 재발을 경험하고, 약 80%는 간, 복막, 폐 등에 원격전이의 형태로 재발합니다. 이런 이유 때문에 췌장암환자의 예후는 매우 좋지 않은데, 2012년 발표된 국립암정보센터자료에 따르면 우리나라 췌장암환자의 5년 생존율은 8%이고 서구 환자의 5년 생존율은 5% 내외입니다. 해외 유수의 암센타의 경우 췌장암이 완전 절제된 환자의 평균 생존기간은 20-24개월, 무병생존기간 (수술 후 재발까지 시간)은 약 1년에 지나지 않습니다. 분당서울대병원 췌장/담도암센터에서 치료하였던 췌장암 환자의 자료를 검토한 결과도 이와 유사하여 완전 절제 후 평균 생존기간은 23개월이었고 무병 생존기간은 13개월이었으며 저희 췌장암센터에서는 최근 이 결과를 유수의 국제 학술지에 발표하였습니다. (그림 5)

국소적으로 진행된 경우 평균 생존기간은 9-15개월 정도이며 간 또는 기타 원격 장기에 전이가 있는 경우 평균 생존기간은 약 3-6개월에 불과합니다.
아직까지 췌장암을 예방하기 위한 뚜렷한 예방 수칙이나 권고 기준은 없으며, 다만 위험 요인으로 알려진 것들을 일상생활에서 회피하여 예방하도록 권장됩니다. 무엇보다도 금연이 가장 중요하며, 과일과 채소를 중심으로 하는 식생활 개선 및 적당한 운동 그리고 고지방, 고열량 식이를 피하는 것이 일상생활에서의 할 수 있는 방법이지만, 생활습관을 개선하더라도 췌장암을 완전히 예방할 수 없습니다. 만성췌장염 혹은 췌장에 낭종이 있는 경우는 일반적으로 정기적인 진료가 추천되지만 어떤 검사를 얼마나 자주해야 하는 지에 대해서는 아직까지 의견이 분분합니다. 췌장암의 가족력이 있는 경우, 특히 부모, 형제 및 자식 중 2명이 췌장암환자일 경우 일반인에 비해 췌장암에 걸린 위험도가 6.4배, 3명 이상이 췌장암환자일 경우는 32배 높기 때문에 이러한 분들은 비록 비특이적인 증상이라도 전문가의 상담이 필요할 수도 있음을 염두에 두어야 합니다.
췌장암은 일반적으로 다른 암에 비해 예후가 좋지 않지만 만족할 만한 치료결과를 얻기 위해서는 치료 전 혹은 치료과정 중 환자 자신과 가족, 의료진이 함께 치료방침, 치료방법 (수술, 화학요법, 방사선치료, 최신의 치료 등) 에 대해 충분한 상의가 필요합니다. 이러한 과정을 통해 의료진은 환자에게 최선의 진료를 제공할 수 있으며 환자는 치료에 잘 적응할 수 있습니다. 환자는 암이라는 질병에 대한 심리적 압박감과, 질병 경과와 치료 과정에서 발생하는 여러 가지 신체적 불편감 때문에 어려움을 겪게 되는 수가 있지만 주변 가족 및 의료진과 함께 충분히 극복해 나갈 수 있습니다. 췌장은 소화액을 생성하여 분비하는 곳이므로 췌장에 이상이 생기면 음식물의 소화가 잘 이루어지지 않습니다. 췌장암 환자는 식욕저하 및 영양겹핍을 흔히 겪게 되는데, 단백질을 포함한 충분하고 균형잡힌 영양소가 포함된 식단이 필요합니다. 췌장암 수술받은 환자라 할지라도 지방섭취 시 복통이나 설사가 없을 경우 특별히 지방섭취를 제한하지는 않지만 식물성 지방위주의 식단이 추천됩니다. 일반적으로 충분한 양의 수분 (최소 하루 6-8잔)을 섭취하여 탈수되지 않도록 하는 것이 중요합니다. 췌장암 자체 혹은 치료과정에서 식욕저하가 흔히 동반되는데, 식사 전 가벼운 운동, 충분한 휴식, 식욕을 돋울 수 있는 신선한 향이 포함된 음식이나 가족과 함께 식사하는 것이 도움이 됩니다.