자연치아를 치료하여 오랫동안 보존하게 하는 분야입니다.
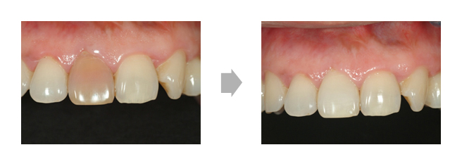
단일 치아에 발생한 충치, 깨짐 등으로 치아의 일부분이 손상되었거나 아픈 경우 그 부분을 수복해 주는 분야(수복치료)와 치아 뿌리의 염증을 치료하여 뿌리를 살린 후 치아를 사용하도록 하는 분야(근관치료)로 구분됩니다.

먼저 시린이의 원인을 찾아야 합니다. 시린 증상이 심하지 않다면 불소코팅 등으로 치료하며 심한 경우 레진으로 수복해서 치료합니다.
노인성 착색은 미백치료의 좋은 적응증입니다. 미백치료로 젊은 미소를 유지하세요.