분당서울대학교병원 치과

전문 센터 및 특수클리닉

Home > 전문 센터 및 특수클리닉 > 임플란트 클리닉

임플란트 클리닉

"임프란트는 정확한 진단과 노하우,
완벽한 시술이 생명입니다."

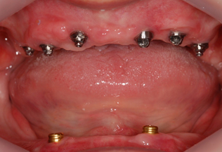
왜 임프란트인가요? 

기존 보철 치료의 문제점은 인접한 자연치아를 깍아야 한다는 것입니다. 임프란트의 가장 큰 장점은 해당 부위만 치료할수 있어 주변의 소중한 자연치아를 건드리지 않는 것이 장점입니다.

왜 임플란트인가요 왜 임플란트인가요2

똑 같은 임프란트 아닌가요?

같은 재료라고 해도 유명 요리사가 요리하는 것과 그렇지 않은 경우 같은 결과가 나올까요? 임프란트는 고도의 정확성과임상 노하우가 필요한 시술자의 능력에 매우 민감한 치료입니다. 시술자의 능력 못지 않게 치료 계획 수립도 매우 중요합니다.분당서울대학교병원 임프란트 클리닉에서는 각 분야별 교수님들이 책임지고 함께 치료 계획을 수립하며 특히 술 후 관리에 만전을 기하고있습니다.

몸이 좋지 않아도 임플란트를 할 수 있나요?

당뇨가 있으신 경우

현재 혈당이 잘 관리되고 있으시다면 임플란트를 시술하는데 아무런 장애가 되지 않습니다. 혈당이 정상보다 약간 높더라도수술 규모에 따라 담당내과의와 상의하여 문제되지 않는다면 임플란트 수술을 진행할 수 있습니다.

고혈압이 있으신 경우

현재 내과치료를 통하여 혈압이 잘 관리되고 있으시다면 임플란트를 시술하는데 아무런 장애가 되지 않습니다.160mmHg/100mmHg이하의 1단계고혈압도 수술규모에 따라 담당내과의와 상의하여 문제되지 않는다면 임플란트 수술을 진행할수 있습니다.

골다공증이 있으신 경우

골다공증은 골질을 약화시키므로 임플란트가 골에 고정되는 것에 영향을 미칠 수 있습니다. 그러나 단지 골다공증이 있다는이유만으로 임플란트가 불가능하지는 않습니다. 골질이 좋지 않은 경우 치유기간을 연장하여 보상할 수 있으므로 골다공증은 대개의경우 큰 문제가 되지 않습니다.

치주염이 있으신 경우

일단 치주염치료를 통해 잇몸의 염증을 가라앉힌 후 환자분께서 칫솔질을 충분히 깨끗하게 시행하셔서 치주염이 재발되지않도록 잘 관리하시면 임플란트 시술에 별다른 문제를 일으키지 않습니다.

기타 전신질환이 있으신 경우

심장질환, 신장 및 내분비계질환 등 외과적 수술에 영향을 줄 수 있는 질환들은 모두 임플란트 수술에 장애가 될 수있으나, 환자분의 일상생활에 큰 지장이 되지 않는 정도의 질환상태는 임플란트 수술에도 대개의 경우 장애가 되지 않으며, 정확한영향은 환자분 개개인의 상태에 따라 달라지므로 내원하시어 상담 후 담당내과의와 협진을 거치면 많은 경우 임플란트 수술을 진행할수 있습니다.

 

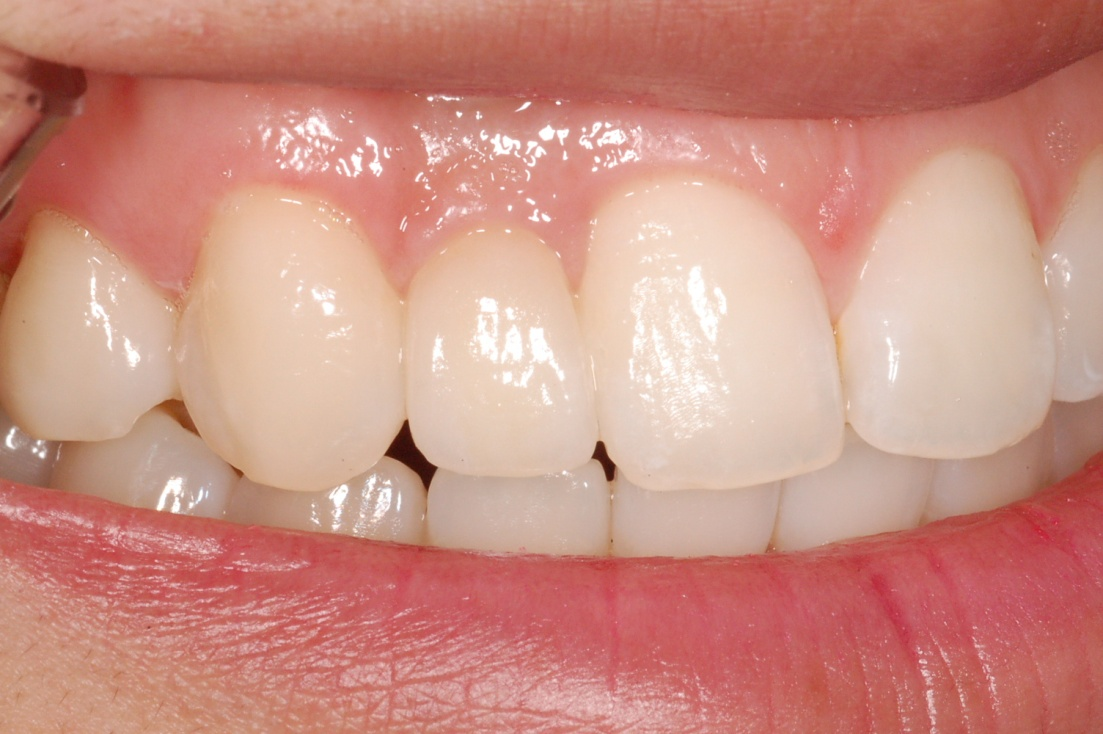
"씹는 즐거움을 다시 찾아 드립니다."

기타 전신질환이 있으신 경우1 기타 전신질환이 있으신 경우2

기존의 틀니는 씹는 힘이 약하고 잇몸이 눌려 통증을 유발할 수 있습니다. 뼛속에 단단히 부착된 임프란트로 자연치아와 같이 씹을 수있고 빼고 넣는 번거로움이 없어집니다.