분당서울대학교병원 감마나이프센터

치료대상질환

Home > 치료대상질환 > 악성뇌종양 > 전이성뇌종양

악성뇌종양 전이성뇌종양

뇌종양은 뇌 속에서 세포들이 비정상적으로 자라고 증식하여 덩어리를 형성하는 것을 의미합니다.

뇌종양은 크게 뇌 자체에서 발생하는 원발성 뇌종양과, 신체 다른 장기의 암세포가 혈관 등을 타고 뇌로 이동하여 뇌 속에서 자라는 전이성 뇌종양으로 구분된다. 최근 암에 대한 치료성적이 좋아져서 생존기간이 길어짐에 따라, 전이성 뇌종양의 발생도 점점 증가하고 있습니다. 전이가 잘 일어나는 원발암으로는 폐암, 유방암, 대장암, 위암, 신장암, 피부암 등이 있으며, 대부분 대뇌와 소뇌에 전이가 발생하지만 드물게 뇌간에도 발생할 수 있습니다. 전이성 뇌종양 환자의 약 절반에서 1개 이상의 병변이 발생하며, 원발암의 종류에 따라 전이부위의 수나 형태는 달라질 수 있습니다. 전이성 뇌종양이 발생하면 초기에는 증상을 느끼지 못하지만, 크기가 커질수록 주변 조직을 압박하여 두통, 어지럼증, 시야장애, 구토와 같은 다양한 증상이 나타납니다. 특히 전이성 뇌종양은 악성 종양의 한 종류로, 양성 종양보다 훨씬 빨리 자라므로 (3개월에 부피가 약 2배 증가) 정기적인 뇌 MRI 촬영을 통해 사전에 발견하는 것이 중요합니다.

전이성 뇌종양은 처음부터 뇌에서 생기는 원발성 악성뇌종양과는 달리, 보통 모양이 둥글고, 주변 정상 뇌조직과 잘 구별되며 진단장비의 발달에 따라 크기가 작을 때 발견되는 것이 많기 때문에 감마나이프수술의 좋은 대상 중 하나입니다. 다발성인 경우에도 한번에 치료가 가능하며, 뇌에 새로운 전이가 발생하는 경우에도 반복적으로 치료가 가능합니다. 감마나이프수술로 종양의 성장을 억제하는 성공률은 약 90%이며, 평균 기대수명은 대략 1년 이상으로 종래의 수술과 비슷한 결과를 보여줍니다. 그러나, 감마나이프 수술 후 사망하는 것은 뇌종양 자체보다는 원래 원발부위의 암이 진행하거나 다른 장기로 전이된 종양으로 인해 사망하는 경우가 대부분입니다. 따라서 원발암이 잘 치료되고 있고 다른 장기로의 전이가 없을 경우에는 훨씬 긴 잔여수명을 기대할 수 있습니다.

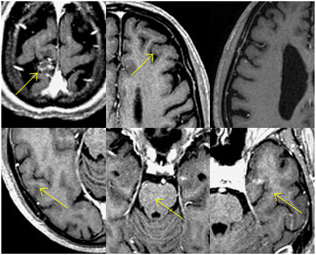
폐암에 의한 다발성 전이성 뇌종양

폐암에 의한 다발성 전이성 뇌종양

폐암에 의한 다발성 전이성 뇌종양

폐암에 의한 다발성 전이성 뇌종양2 폐암에 의한 다발성 전이성 뇌종양3
치료전 6개월 후

위암에 의한 전이성 뇌종양

위암에 의한 전이성 뇌종양