관련과: 구강악안면외과, 치과 보철과, 치주과
임플란트는 빠진 치아를 다시 만들기 위하여, 생체에 해가 없는 금속인 티타늄(titanium)으로 만들어진 치아 뿌리에 해당하는 인공식립물을 뼈 안에 심은 후 그 위에 치아 형태의 구조물을 만들어 올리는 것을 말합니다.
이 방법은 인접치에 손상이 없고 관리만 잘하면 거의 자연치에 상당할 만큼 편안하고 오래 사용가능하기 때문에 많은 환자들이 시술을 원합니다.
아마도 21세기에는 임프란트 시술이 치과 분야에 통상적으로 시술되는 술식으로 정착되어 환자들이 저작기능에 있어 질적인 삶을 누릴 수 있으리라 전망됩니다.
임플란트 전악고정성 보철물 : 10-14개의 임플란트를 식립하고 그 위에 고정식으로 치아보철물을 올립니다.
임플란트 오버덴쳐 : 아랫턱 2-4개, 윗턱 4-6개의 임플란트를 식립하고, 틀니가 식립된 임플란트로부터 지지 및 유지효과를 얻습니다.
임플란트 부분고정성 보철물 : 빠진 치아의 개수만큼 임플란트를 식립하는 것이 원칙이나, 치료비용이 부담되는 경우 치아가 빠진 부위의 가운데부위는 임플란트를 생략할 수 있습니다.
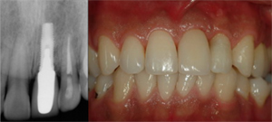
임플란트 단일치아 보철물 : 하나의 임플란트를 식립하여 하나의 치아를 수복합니다.
임플란트의 수명은 반영구적이라고 할 수 있습니다. 이는 큰 문제만 생기지 않는다면 영구적으로 사용할 수 있다는 뜻입니다.
큰 문제란, 임플란트 주위의 잇몸에 염증이 발생하여 임플란트 주변골이 파괴되고 더 나아가 임플란트가 흔들리게 되는 경우를 말합니다. 이를 막으려면 적절한 임플란트 시술과 함께 환자분의 충분히 깨끗한 칫솔질이 필요합니다. 큰 문제가 없더라도, 임플란트의 상부 보철물에 여러가지 작은 문제점 (나사풀림, 도재파절, 음식물침착의 증가 등)들이 발생할 수 있으나 이는 상부보철물의 수정 또는 교체를 통해 치료 가능하므로 임플란트 자체는 계속 사용하실 수 있습니다.
치료 종료 후 연1회의 정기적인 검진은 이러한 크고 작은 문제점들을 조기에 발견하고 예방하는데 큰 도움이 되므로 반드시 필요합니다.
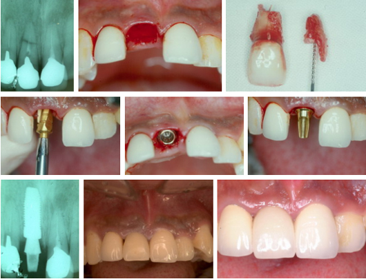
임플란트 치료는 크게 수술 단계와 보철 단계로 나누어집니다.
수술 단계는 뼈 안에 임플란트를 식립하는 과정입니다. 수술 규모가 작으면 부분마취만으로 수술하며, 규모가 클 경우 전신마취 하에 수술하기도 합니다.
수술 후에는 임플란트가 뼈와 잘 붙어 고정되도록 기다리는 치유 기간이 필요합니다. 얼마나 기다려야 하는가는 경우마다 다릅니다. 수술 직후부터 임플란트가 뼈와 단단히 고정되어 있고 기타 여건이 좋을 경우에는 치유 기간을 생략하고 곧바로 보철 단계로 진행할 수도 있는 반면, 잘 고정되지 않았을 경우 뼈가 자라나 잘 고정되도록 수 주일에서 수 개월의 치유기간이 필요하게 됩니다. 뼈가 부족하여 골이식을 함께 행한 경우에는 추가로 치유 기간이 더 필요할 수 있습니다. 치유 기간 동안 치유 상태의 확인을 위해 1-2개월에 1회 정도의 내원이 필요합니다.
보철 단계는 식립된 임플란트 위에 치아 구조물을 올리는 과정입니다. 임플란트가 뼈와 잘 고정되었다고 판단된 이후에 진행합니다. 치료 규모에 따라 차이가 있을 수 있으나, 대략 1주 1회의 내원을 기준으로 1-2개월의 기간이 필요합니다.

우리병원에서는 시술하지 않습니다. 레이저를 이용하여 시술을 할 수는 있지만 레이저 치료가 일반적인 치료에 비해 더 나은 점이 없다는 것이 본 치과의 결론입니다. 레이저 무통시술이라는 것은 과대광고라고 판명이 났으며 또한 환자의 수술 후 불편감 감소 및 치유 촉진이 된다는 것에 대해서 레이저 치료가 우월하다는 명백한 증거는 없습니다. 물론 본 병원에는 여러 종류의 레이저뿐 아니라 치과용 레이저도 있습니다. 하지만 임프란트 시술에는 사용하지 않으며 생검과 같은 다른 치료에 사용됩니다.
당뇨가 있으신 경우
현재 혈당이 잘 관리되고 있으시다면 임플란트를 시술하는데 아무런 장애가 되지 않습니다. 혈당이 정상보다 약간 높더라도 수술 규모에 따라 담당내과의와 상의하여 문제되지 않는다면 임플란트 수술을 진행할 수 있습니다.
고혈압이 있으신 경우
현재 내과치료를 통하여 혈압이 잘 관리되고 있으시다면 임플란트를 시술하는데 아무런 장애가 되지 않습니다. 160mmHg/100mmHg이하의 1단계고혈압도 수술규모에 따라 담당내과의와 상의하여 문제되지 않는다면 임플란트 수술을 진행할 수 있습니다.
골다공증이 있으신 경우
골다공증은 골질을 약화시키므로 임플란트가 골에 고정되는 것에 영향을 미칠 수 있습니다. 그러나 단지 골다공증이 있다는 이유만으로 임플란트가 불가능하지는 않습니다. 골질이 좋지 않은 경우 치유기간을 연장하여 보상할 수 있으므로 골다공증은 대개의 경우 큰 문제가 되지 않습니다.
치주염이 있으신 경우
일단 치주염치료를 통해 잇몸의 염증을 가라앉힌 후 환자분께서 칫솔질을 충분히 깨끗하게 시행하셔서 치주염이 재발되지 않도록 잘 관리하시면 임플란트시술에 별다른 문제를 일으키지 않습니다.
기타 전신질환이 있으신 경우
심장질환, 신장 및 내분비계질환 등 외과적 수술에 영향을 줄 수 있는 질환들은 모두 임플란트 수술에 장애가 될 수 있으나, 환자분의 일상생활에 큰 지장이 되지 않는 정도의 질환상태는 임플란트 수술에도 대개의 경우 장애가 되지 않으며, 정확한 영향은 환자분 개개인의 상태에 따라 달라지므로 내원하시어 상담 후 담당내과의와 협진을 거치면 많은 경우 임플란트 수술을 진행할 수 있습니다.
임프란트 시술 자체는 많이 불편하지 않습니다. 처방약을 잘 복용하시고 알려드린 수술 후 주의 사항만 잘 지켜주시면 크게 불편하지 않습니다.
물론 골이식이 병행된 경우에는 조금은 더 붓고 불편감이 큽니다. 하지만 이와 같은 경우에도 처방약 복용 및 수술 후 주의사항만 잘 지켜주신다면 크게 불편하지는 않습니다.?
진정마취를 통한 수술
프로포폴이라는 약제를 사용하여 의식이 있는 가운데 수술의 불편감을 감소시켜드리는 방법입니다. 치과 시술에 공포감 및 불안감이 있는 환자, 많은 골이식 및 다수의 임프란트 식립 같은 많은 시술을 받는 환자, 1시간 이상 장시간의 시술을 받아야 되는 환자에서 불편감을 줄일 수 있는 방법입니다. 본 병원에서 진정법으로 시술받은 환자분의 만족도가 매우 높다는 연구결과도 조사되었습니다. 본 병원 수술장에서 마취과 선생님이 직접 약제를 투여 및 관찰을 해주시기 때문에 매우 안전한 방법입니다.
전신마취 통한 수술
전신마취를 통해 의식이 없는 가운데 수술을 시행하는 방법입니다. 전신마취 또한 본 병원 수술장에서 마취과 선생님께서 시행해 주시며 철저한 관찰 하에 진행되기 때문에 매우 안전한 시술입니다. 아주 많은 임프란트 시술 및 많은 골이식이 필요한 경우, 환자분이 치과시술을 견디기 힘들어 하는 경우, 치과 시술에 심한 공포감 및 불안감이 있는 경우에 적응증이 될 수 있습니다.
출혈, 동통, 붓기, 감염, 상처의 벌어짐, 감각이상, 축농증, 임플란트 흔들림, 임프란트 주위염증, 임프란트 탈락
임프란트 식립 시 이와 같은 합병증은 항상 존재하고 있습니다. 하지만 본 병원에서는 항상 깨끗한 환경에서 깨끗이 소독된 기구를 이용 정확한 임프란트 시술을 시행하여 위와 같은 합병증을 최소로 하기 위해 항상 노력하고 있습니다.
다음글이 없습니다.